PATIENT PRESENTATION
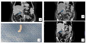
A 61 female presented with recurrent bile duct stones, leading to biliary sepsis and pancreatitis. Her past medical history included the excision of a D2/D3 duodenal Gastro-Intestinal Stromal Tumour (GIST) in 2016. She subsequently underwent laparoscopic cholecystectomy and Common Bile Duct (CBD) exploration with T-tube insertion in 2020 due to previous CBD stones, with full recovery. Prior to this, imaging showed CBD dilation but no hem-o-lok® clip (Fig 1, Panel A). However, a hem-o-lok® clip is present post-cholecystectomy scan in 2021 and 2024 (Fig 1, Panel B and Panel D). She was admitted in 2023, severely unwell due to pancreatitis from recurrent CBD stones. To retrieve her CBD stones, she underwent multiple ERCPs, including rendezvous procedures, which failed due to post- duodenectomy scarring and a duodenal diverticulum. After initial conservative management and discussion at a benign HPB multidisciplinary team in Oxford, she underwent an open CBD exploration showing the presence of a large CBD stone with a nidus: which was the hem-o-lok® (Fig 1, Panel C). This was present from the time of her cholecystectomy in 2020 (based on retrospective review of serial radiology), which is likely to have slipped into the CBD.
DIAGNOSIS
Recurrent choledocholithiasis and pancreatitis caused by migrated hem-o-lok®
DISCUSSION
Although there have been a few case reports of a hem-o-lok® clip migrating to the CBD from the time of laparoscopic cholecystectomy,1,2 including a case after CBD exploration,3 this occurrence is exceedingly rare. These photographs show the presence of the clip in preoperative serial CT scans. This case highlights the importance of careful history gathering and examination of CT imaging. It would be imperative to communicate to radiologists that hem-o-lok® clips can cause recurrent stones and should be looked for within the CBD. Patients can also be counselled for this potential risk of laparoscopic cholecystectomy at the time of the procedure.
CONFLICT OF INTEREST
The authors have no conflict of interest to declare
ACKNOWLEDGEMENTS
We would like to thank Dr Helen Bungay, Consultant Radiologist, Oxford University Hospitals NHS Foundation Trust

__panel_b__ctap_with_iv_cont.png)